Ciertos síntomas pueden alertar sobre su presencia

El cáncer de pulmón representa uno de los desafíos de salud pública más complejos del mundo, siendo la principal causa de fallecimientos por cáncer tanto en hombres como en mujeres. Este tipo de cáncer suele originarse en las células que recubren las vías respiratorias pulmonares.

Existen dos formas principales de esta enfermedad: el cáncer de pulmón de células pequeñas y el de células no pequeñas, siendo este último el más frecuente. Cada uno evoluciona de manera distinta y requiere enfoques terapéuticos diferenciados.

Aunque cualquier persona puede desarrollarlo, los riesgos aumentan considerablemente en presencia de ciertos factores. El tabaquismo es el más determinante: aproximadamente el 90% de los casos en hombres y el 80% en mujeres están vinculados al consumo de tabaco. La exposición prolongada al humo ajeno, ciertas sustancias químicas industriales, el gas radón y la contaminación del aire también son factores relevantes. Además, hay evidencia de que las personas con VIH presentan una mayor incidencia, aunque no está claro si se debe a la infección en sí o a hábitos asociados como el tabaquismo.

Los síntomas no siempre se manifiestan en las primeras etapas, lo que dificulta su detección temprana. Sin embargo, signos como tos persistente, dolor torácico, dificultad respiratoria, pérdida de peso sin causa aparente o fatiga continua pueden alertar sobre su presencia.

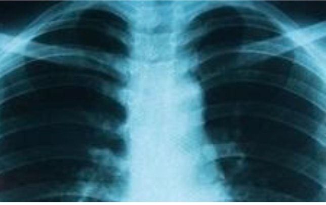
Para diagnosticarlo, los especialistas recurren a un conjunto de estudios clínicos que incluyen radiografías, tomografías, análisis de sangre y biopsias. Una vez confirmado, se determina su estadio, lo que permite diseñar un tratamiento adaptado a la extensión del cáncer y a las características del paciente.

Las opciones terapéuticas son variadas: cirugía, quimioterapia, radioterapia, inmunoterapia y técnicas avanzadas como la criocirugía o la terapia fotodinámica. Aunque no siempre se logra la curación, los tratamientos pueden mejorar la calidad de vida y prolongar la sobrevida.

La prevención sigue siendo clave: dejar de fumar, evitar contaminantes y controlar el radón en el hogar son medidas eficaces para reducir el riesgo.

Fuente: Instituto Nacional del Cáncer | MedlinePlus

NACIONALES

Manantiales Serranos ingresa a la Red Mundial de Geoparques de la UNESCO

Parque Fotovoltaico Melo: UTE presentó planta solar más grande del país

Discusión de tránsito en el centro de Montevideo terminó con un delivery asesinado

DEPARTAMENTALES

Confirman presencia de un puma en Canelones y continúa su búsqueda

10.ª edición de “Abril entre libros” en el Centro Cultural Carlitos

"Picnic de Otoño" en el Mariposario Panambí este sábado 18 de abril

INTERNACIONALES

Ataque con machete en metro de Nueva York deja tres heridos

Exitoso regreso: Artemis II completa su misión y ameriza en el Pacífico

La cápsula Orion recorrió la cara oculta de la Luna y regresa hacia la Tierra

VIENTO AHORA

FACEBOOK

X ACTUALIDAD